
Después de la mirada, la sonrisa es la que deslumbra.
Una de las metas del tratamiento de Ortodoncia es lograr una armonía entre los dientes y la cara

«Nuestro compromiso es ofrecer atención de la más alta calidad, respaldada por un equipo capacitado.»
— Dra. Ingrid Alas, Ortodoncista

Ortodoncia y Ortopedia Maxilofacial
El propósito de la Ortodoncia, va más allá de una linda sonrisa, el tratamiento de Ortodoncia tiene un papel importante en mejorar la higiene oral, entre otros
Una de las metas del tratamiento de Ortodoncia es lograr una armonía entre los dientes y la cara
CONÓCEME
Dra. Ingrid Lissette Alas Castillo
- Graduada de Doctora en Cirugía Dental en la Universidad de El Salvador en el 2004.
- Con una Maestría en Ortodoncia y Ortopedia de los maxilares obtenida en el Centro De Estudios Superiores de Ortodoncia, México en el período 2005-2007.
- Con experiencia de más de 15 años en tratamientos de Ortodoncia como mordidas invertidas, mover dientes atrapados en el paladar entre otros, contribuyendo a cambiar la vida de los niños, jóvenes y adultos.
- Participación en diferentes congresos nacionales e internacionales.

Ortopedia de los maxilares
Corrige problemas de crecimiento de los maxilares

Brackets estéticos
Brackets metálicos y brackets estéticos

Retenedores

Rompe hábitos

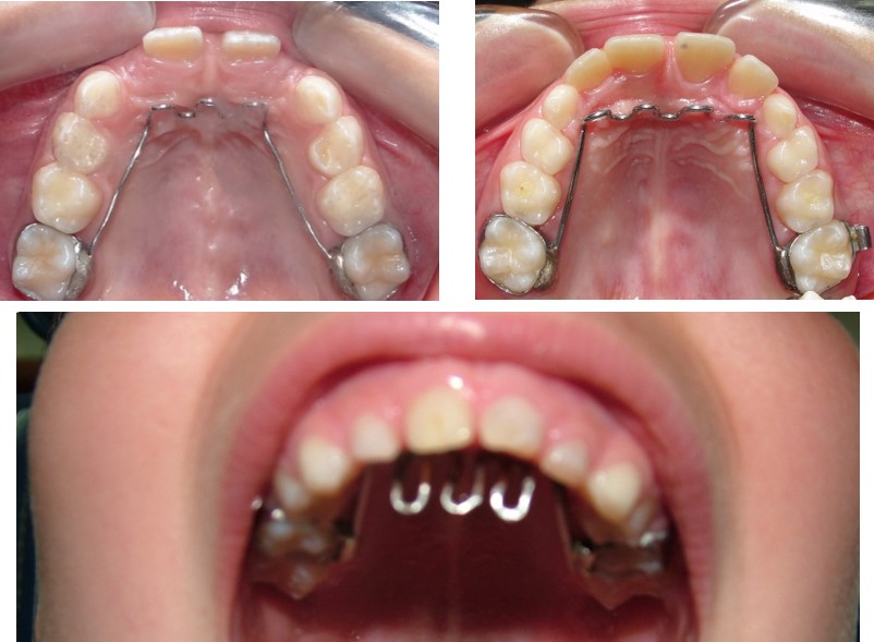
Dientes retenidos o atrapados en el paladar
Recomendaciones
Super recomendada! Son muy profesionales y te explican todo el proceso al inicio del tratamiento, te dan la opción de pagar en cuotas. Ya en el proceso te explican cómo va tu evolución y te enseñan cómo mantener la limpieza dental.
Liz Aguilar
No pude llegar a mejores manos que a los de la Dra. Ingrid. ?
Encantada, excelentes resultados desde el inicio del tratamiento, de igual manera la atención es muy bonita, hacen sentir muy cómodo y reconfortante. Definitivamente la recomiendo ?.
Katherine Michelle Panameño Argueta
